Pankreas Kanseri
Hücreler büyürler ve vücut ihtiyaç duydukça yeni hücreler oluşturmak için bölünürler. Normal hücreler yaşlandıklarında veya hasarlandıklarında ölürler ve yerlerini yeni hücreler alır. Bazen bu işlemlerde sorunlar olur. Yeni hücreler vücut onları istemediği halde oluşurlar ve yaşlandıklarında veya hasarlandıklarında ölmeleri gerekmesine rağmen ölmezler. Bu anormal hücreler hem fonksiyon olarak hem de görünüm olarak normal hücrelerden farklıdırlar. Bu ekstra hücrelerin oluşturdukları kitleye de ‘tümör’ adı verilir.
Pankreas tümörleri de benign (iyi huylu) veya kanser-malign (kötü huylu) olabilir.
İyi huylu tümörler (örn: kistler) genellikle yaşamı tehdit etmezler. Cerrahi olarak çıkartılabilirler ve genel olarak nüks etmezler. Etraflarındaki dokuların içerisine ilerlemezler ve başka organlara yayılmazlar.
Kötü huylu tümörler yaşamı tehdit ederler. Cerrahi olarak çıkartılabilirler ancak tekrar büyüyebilirler. Etraf dokuların içerisine girebilir ve onlara zarar verebilirler. Uzak organlara yayılabilirler.
Pankreas kanserinin iki ana tipi vardır. Çoğunlukla pankreas kanseri pankreas sıvılarını taşıyan kanallardan başlar. Bu tipe ekzokrin pankreas kanseri (duktal adeno ca) adı verilir.
Daha az sıklıkta pankreas kanseri hormonları üreten hücrelerden başlar. Bu tipe de endokrin pankreas kanseri veya adacık hücre kanseri (nöroendokrin tümör) adı verilir.
Pankreas kanserlerinin 2/3’ü pankreasın baş kısmında, 1/3’ü gövde ve kuyruk bölümünde yerleşirler. Hastalık genelde 55 yaş ve üzerinde görülür. Hastaların %70’i 65 yaş ve üzerindedir.
Risk Faktörleri
Sigara kullanımı pankreas kanseri için en önemli risk faktörüdür. Sigara içmeyenlere göre risk 2-3 kat artmıştır. Sigara bırakıldığında zaman içerisinde risk içmeyenlerle eşitlenir.
Diette yüksek kolesterol içeren, kızartılmış gıdalar, işlem görmüş kırmızı et ürünleri bulunması riski arttırabilir. Sebze ve meyveden zengin bir diet de riski azaltabilir.
Obesite de riski arttıran faktörlerden birisidir. Özellikle genç yaşta obesite problemi yaşayanlarda risk daha yüksektir.
Kronik pankreatit hastalarında pankreas kanseri riski topluma göre 10 kat veya daha fazladır. Mide ülseri hikayesi, geçirilmiş mide cerrahisi de risk faktörleri arasındadır.Diabet(şeker hastalığı)
riskin arttığı bir diğer durumdur.Elli yaş sonrası diabet tanısı alan kişilerde bu durumun pankreas kanseri nedeniyle ortaya çıkabileceğide unutulmamalıdır
Kalıtımsal Risk Faltörleri
Ailede pankreas kanseri (birinci derecede akrabalar) riski 2-3 kat arttırmaktadır. Ailevi pankreas kanseri olarak tanımlanan durum en az üç birinci derece akrabada pankreas kanseri varsa söz konusudur. Bu nadir durum riskin en yüksek (30 kat) olduğu durumdur.
Pankreas kanseri riskinin arttığı diğer nadir kalıtımsal durumlarda şunlardır: Ailevi Atipik Multipl Mol Melanom Sendromu, Peutz-Jeghers Sendromu, Herediter Pankreatit, Lynch Sendromu, Wermer sendromu, Ailevi Meme Kanseri Sendromu.
Belirti ve Bulgular
Birçok kişide hastalık ileri bir aşamaya gelene kadar hiçbir şikayet olmayabilir. Birçok kişide de başka rahatsızlıklara yorulabilecek belirgin olmayan şikayetler olabilir. Bunların en sık olanları karın, sırt ve bel ağrıları, halsizlik, iştahsızlık, kilo kaybı gibi şikayetlerdir. Sarılık kitle pankreas başında yerleştiğinde görülür. Pankreas gövde ve kuyruk tümörlerine göre baş bölgesi tümörlerinin nispeten erken tanınmasını sağlayanda budur. Başlangıç şikayetlerinin pankreas hastalığına bağlanması genellikle zordur. Belirgin olmayan şikayetler nedeni ile hastaların çoğunluğu önce ülser veya bel-sırt problemleri açısından değerlendirilir. Bu dönemde yapılan karın ultrasonografilerinin de normal olarak değerlendirilmesi tanı gecikmelerinin en önemli nedenlerindendir. Ultrasonografi hastaların başlangıç değerlendirmelerinde sık kullanılsa da pankreas hastalıklarının değerlendirilmesinde tek başına hiçbir zaman yeterli değildir.
Yeni ortaya çıkan diabet (şeker hastalığı) pankreas kanserinin bir belirtisi olabilir. Mayo klinik de yapılan bir çalışmada 50 yaş üzeri yeni tanı alan diabet hastalarında pankreas kanseri 8 kat fazla görülmüştür.
Hangi belirtiler pankreas tümörü varlığına işaret eder denildiğinde ilk sayılabilecekler sarılık, istem dışı kilo kaybı, karın ağrısı ( özellikle mide bölgesinde hissedilen ve sırta yayılan ağrılar), halsizlik, iştahsızlıktır.
Tanı
Yukarıda sayılan veya farklı şikayetlerle başvurduğunuzda hekiminiz sizi dinleyecek, bazı sorular soracak ve sizi muayene edecektir. Bazı kan testleri istedikten sonra radyolojik görüntüleme yöntemlerine başvurulacaktır. Ultrasonografi yaygınlığı, ucuz olması ve kolay ulaşılabilirliği nedeniyle genellikle ilk başvurulan yöntemdir. Çok yararlı bilgiler sağlayabilir ancak inceleme sonucunun normal olması pankreas problemi olmadığını göstermez.
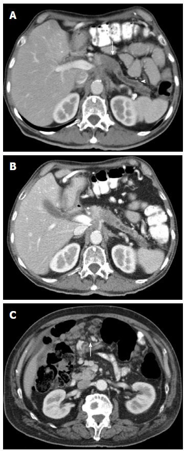
Bilgisayarlı tomografi ve manyetik rezonans görüntüleme yöntemleri pankreasın değerlendirilmesi açısından çok yararlı yöntemlerdir. Özellikle de pankreasa yönelik dinamik incelemeler tanı ve tedavinin planlanması için kritik öneme sahiptirler. Pankreasta bir kitle saptandığında bu kistik bir kitle midir, etraf dokularla ilişkisi nedir, çevredeki önemli damar yapılarıyla olan mesafe nedir sorularına bu dinamik incelemeler yanıt verebilmektedir.
Son yıllarda endoskopi aletleriyle ultrasonografinin birleşiminden oluşan endoskopik ultrasonografide daha sık kullanılır olmuştur. Endoskopik ultrasonografinin avantajı probu midenin içerisine yerleştirerek pankreasa çok yakın görüntüleme yapmak mümkün olmakta ayrıca doku örneklemesi gerektiğinde bu teknik olarak daha kolay gerçekleştirilebilmektedir.
PET görüntüleme yöntemi hem anatomik bilgi hem de biyolojik fonksiyon hakkında bilgi vermektedir. Damar içerisine verilen az miktarda radyoaktif madde ile işaretlenmiş şeker tümör dokusunda daha fazla tutulmakta, buda özel bir kamera aracılığıyla bilgisayar tarafından görüntüye dönüştürülmektedir. Kanser hücreleri normal hücrelere göre daha fazla şeker tükettiklerinden işaretli madde kanserli dokuda tutulmakta buda hem kanserin varlığını hemde tek görüntülemede vücudun tümünde kanserin yaygınlığını anlamaya yaramaktadır. PET günümüzde pankreas kanserinin tanısı için şart olan bir yöntem değildir. Ayrıca her kanser tanısı alan için muhakkak yapılması gereken bir yöntem değildir. Pankreas kanserinin uzak organlara yayıldığı şüphesinin olduğu durumlarda kullanılması en uygun durumdur.
ERCP (endoskopik retrograd cholanjiopankreatografi) gastroenterologlar tarafından uygulanan hem safra kanallarını hem de pankreas kanallarını görüntülemede kullanılan invaziv bir yöntemdir. ERCP’nin avantajı görüntülemenin dışında tedavi edici uygulamalara da olanak tanımasıdır. Dezavantajı ise belli oranda komplikasyonlarla birlikte olmasıdır. Günümüzde sadece görüntüleme için ERCP kullanılması diğer görüntüleme yöntemlerinin kullanıma girmesi nedeniyle çok azalmıştır. MR yöntemiyle safra ve pankreas kanallarının görüntülenmesine olanak sağlayan MRCP sayesinde birçok durumda ERCP’ye gerek kalmamaktadır.
Pankreas kanseri tanısında kullanılan kan testleri içerisinde safra yolu tıkanıklarını gösteren karaciğer fonksiyon testleri ve tümör belirteçleri vardır. Tümör belirteçleri içerisinde en sık kullanılan test CA 19-9’dur. Kanser tarama testi olarak kullanılması test doğruluğunun düşüklüğü nedeniyle uygun değildir. Yalancı negatiflik ve yalancı positiflik oranlarının yüksekliği nedeniyle tek başına tanı koydurucu özelliği yoktur. En önemli kullanım alanı tedavinin seyrinde değişen değerlerle tedaviye yanıtı değerlendirmektir.
Yapılan radyolojik görüntülemeler sonucunda pankreasta bir kitle saptandığında ilk önemli nokta bu kistik (içi sıvı) bir kitle midir yoksa solid bir kitle midir ayrımının yapılmasıdır. Günümüzde bu ayrımın yapılması bir zorluk göstermemektedir. Ancak kistlerin kendi içerisinde alt tiplerinin değerlendirilmesi zorluk gösterebilir. Solid bir kitle saptanmışsa hastanın klinik, laboratuar ve radyolojik değerlendirmesi bir kanser varlığına işaret ediyorsa bunu biopsi ile göstermek zorunluluğu yoktur. Hastanın cerrahi tedaviye engel bir durumu yoksa bundan sonraki aşama cerrahinin planlamasıdır. Eğer herhangi bir nedenle cerrahi yapılamıyorsa ve kemoterapi ve benzeri tedaviler planlanacaksa biopsi yapılması zorunludur.
Evreleme
Pankreas kanseri tanısı konulduktan sonraki aşama en uygun tedaviyi planlayabilmek için hastalığın yaygınlığını saptamaktır. Genellikle tanı aşamasında kullanılan yöntemler bu iş için yeterlidir. Tümörün çapı, etraf dokularla ilişkisi ve uzak organlara yayılımın olup olmamasına göre evreleme yapılır. Kanser hücreleri lenf yoluyla veya kan yoluyla vücuda yayılabilirler. Bu duruma ‘metastaz’ diyoruz.
Tedavi
Günümüzde pankreas kanseri tedavisinde 5-10 yıl veya daha uzun süre yaşama şansı veren tek tedavi yöntemi cerrahidir.Cerrahi tedaviye ilaç (kemoterapi) eklenmesi bu durumu daha yüksek olasıklı hale getirmektedir.Cerrahi yapılmayan/yapılamayan hastalara hiçbir tedavi yöntemi bu şansı verememektedir.
Pankreas kanseri bulunduğu bölgede sınırlı kalmışsa (evre1-2, bazen evre3) cerrahi en uygun tedavi yöntemidir. Başka hiçbir tedavi yöntemi cerrahinin başarısına ulaşamamaktadır. Yapılmayan veya yapılamayan hastalarda ilaç (kemoterapı) ve/veya ışın (radyoterapi) tedavisi uygulanır.
Cerrahi tedavi tümörün uzak organlara yayılmadığı, hastanın cerrahi tedaviye engel bir durumunun olmadığı her durumda ilk seçenektir. Çoğu hastada tümörün lokalizasyonu ‘Whipple’ (pankreatikoduodenektomi) ameliyatını gerektirir. Daha az sıklıkta ise ‘distal pankreatektomi’ yani pankreasın gövde ve kuyruk kısmının dalak ile birlikte çıkarıldığı ameliyat uygulanır. Whipple ameliyatında midenin bir kısmı, duodenum (12 parmak bağırsağı), pankreasın baş kısmı, safra yolunun bir kısmı ve safra kesesi çıkartılır. Ameliyatla ile ilgili ayrıntılar için ‘pankreas ameliyatları’ bölümüne bakabilirsiniz.
Ameliyat sonrasında yapılan patolojik inceleme sonuçlarına göre onkologlar tarafından ek ilaç ve/veya radyoterapi önerilebilir.
ABD'de yapılan çalışmalar şu çelişkili durumu ortaya koymuştur.Cerrahi tedavi ile tamamen iyileşme şansının bulunduğu evre 1 hastaların ancak %40'ına ameliyat yapılmıştır.Bu hastaların bir kısmında ileri yaş,yandaş hastalık varlığı,ameliyatı reddetme ameliyat yapılmasına engel olmuşken hastaların çoğunluğuna erken evre olmasına rağmen "cerrahi tedavi seçeneği" bilgisi sunulmamıştır.Bunun nedenleri araştırıldığında da hem toplumun genelinde hemde konunun uzmanı olmayan hekimlerdeki negatif önyargı olduğu ortaya çıkmıştır.Pankreas kanserinin "kötü" bir kanser olduğu algısı tedavi olma şansı olan hastalarında geleceğini etkilemektedir


 Evre 1
 Evre 2
 Evre 3
 Evre 4